|
🦷 We Accept the Canadian Dental Care Plan (CDCP)!
Good news! Our dentistry now accepts CDCP coverage. If you’re eligible, book your appointment today and let us help you achieve a healthier smile.
|
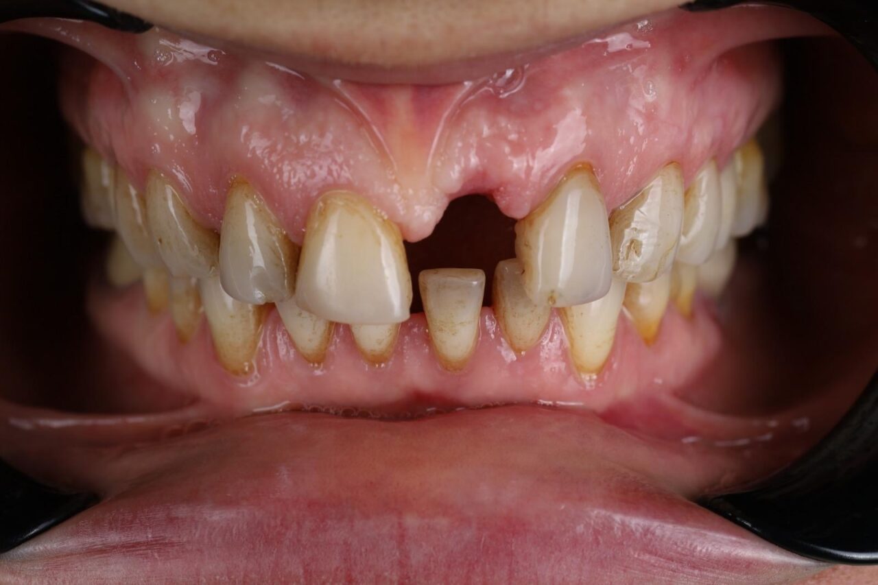
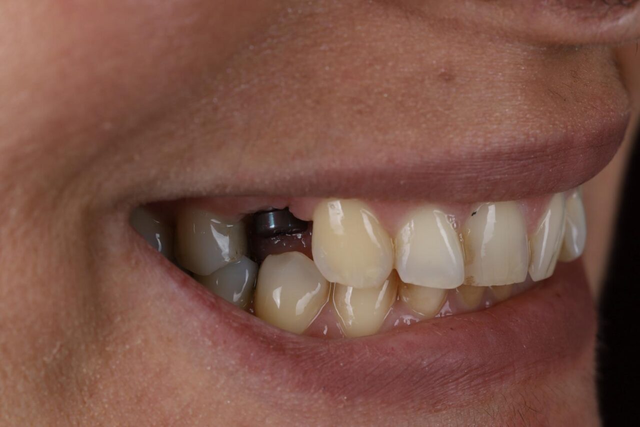
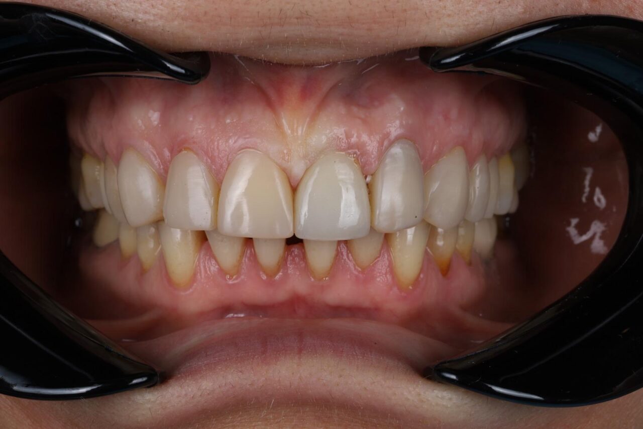
We offer a comprehensive range of dental services, including oral surgeries, dental implants, endodontics, cosmetic dentistry, and restorative dentistry.
Copyright © 2024 All Rights Reserved.